ºÎ»ê°á¼ÕÄ¡±³Á¤, ´ºÆ¼½ºÄ¡°ú±³Á¤°ú Ä¡°úÀÇ¿ø
¾È³çÇϽʴϱî?
ºÎ»ê ±ÝÁ¤±¸ ±¸¼µ¿¿¡ À§Ä¡ÇÑ
´ºÆ¼½ºÄ¡°ú±³Á¤°ú Ä¡°úÀÇ¿ø
Ä¡°ú±³Á¤°úÀü¹®ÀÇ ¾È¼ö¹üÀÔ´Ï´Ù.
º½ÀÌ ½ÃÀ۵Ǵ 3¿ùÀÔ´Ï´Ù~
º½ºñ¶ó°í Çϱ⿡´Â Á¶±Ý Ã߿¾¾À̱ä ÇÏÁö¸¸
Çϴÿ¡ º½À» ¾ËÀÌ´Â ºñ°¡ ³»¸®°í Àֳ׿ä^^
Àϱ³Â÷°¡ Å©´Ï ´Ùµé °¨±â Á¶½ÉÇϼ¼¿ä~~

¿À´Ã Æ÷½ºÆÃ ³»¿ëÀº
"#ºÎ»ê°á¼ÕÄ¡±³Á¤, #ºÎ»êº¸Ã¶Àü±³Á¤" ÀÔ´Ï´Ù.
Ä¡¾Æ°¡ ¼±ÃµÀûÀ¸·Î ¾ø´øÁö
¾Æ´Ï¸é ÃæÄ¡ µîÀ¸·Î ÀÎÇØ
Ä¡¾Æ°¡ ºüÁ³´øÁö ÇϰԵǸé
º¸ÅëÀº ±× ÀÚ¸®¿¡ À̸¦ ÇØ ³Ö¾î¾ß ÇÕ´Ï´Ù.
´ëºÎºÐ ÀÓÇöõÆ® ½Ã¼úÀ» ÇØ¼
º¸Ã¶À» Çϴµ¥...
Ȥ½Ã³ª ±³Á¤Ä¡·á¸¦ »ý°¢ÇÏ°í °è½Ã´Ù¸é
¿ì¼±Àº ±³Á¤Àü¹®Ä¡°ú·Î ¹®ÀÇÇÏ½Ã´Â°Ô ÁÁ½À´Ï´Ù.
°æ¿ì¿¡ µû¶ó¼
À̰¡ ¾ø´Â ºÎºÐÀ» ±³Á¤À¸·Î °ø°£À» ¾ø¾Ù¼öµµ ÀÖ°í
¾Æ´Ï¸é
Á¤È®ÇÑ º¸Ã¶¹°À» À§ÇØ °ø°£À» ¸¸µé¼öµµ ÀÖ½À´Ï´Ù.
¿À´ÃÀº ÃæÄ¡·Î ÀÎÇØ À̸¦ »©¾ßÇÏ´Â
ȯÀÚÀÇ ±³Á¤Ä¡·á ÀÔ´Ï´Ù.

ÃæÄ¡°¡ ½ÉÇØ À̸¦ »Ì°í ÀÓÇöõÆ®¸¦ ÇØ¾ßÇÑ´Ù°í
ÀαÙÄ¡°ú¿¡¼ »ó´ã ¹ÞÀ¸½Ã°í
±³Á¤Ä¡·á¸¦ ±ÇÀ¯¹Þ¾Æ ³»¿øÇϽŠºÐÀÔ´Ï´Ù.
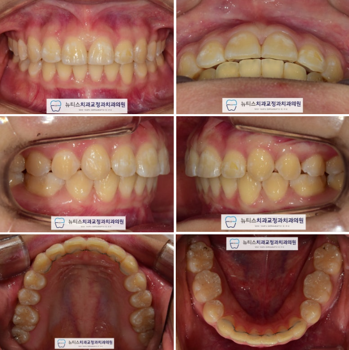
ÃÊÁø »çÁøÀÔ´Ï´Ù.
µ¹ÃâµÈ ¾Õ´Ï¿Í »ß¶Ô¾îÁø Ä¡¾Æ¸¦ º¸ÀÔ´Ï´Ù.
»ó¾Ç Á¦ 1 ´ë±¸Ä¡´Â À̰¡ ½â¾î¼
¸Ó¸®ºÎºÐÀÌ ¾ó¸¶³²Áö ¾Ê¾Ò½À´Ï´Ù.
ÃæÄ¡Ä¡·á¸¦ À§ÇØ ³»¿øÇÑ ÀαÙÄ¡°ú¿¡¼
±³Á¤Ä¡·á¸¦ Ç϶ó°í ±ÇÀ¯¹Þ°í
"#ºÎ»ê°á¼ÕÄ¡±³Á¤, #ºÎ»êº¸Ã¶Àü±³Á¤" Ä¡°úÀÎ
ÀúÈñ ´ºÆ¼½º·Î ¿À¼Ì½À´Ï´Ù.
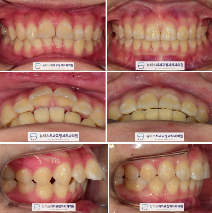
Æ¢¾î³ª¿Â ¾Õ´Ï
Ʋ¾îÁø Ä¡¾Æ
¸ÂÁö ¾Ê´Â ±³ÇÕ
»Ì¾Æ¾ßµÇ´Â Ä¡¾Æ
µîÀ» °í·ÁÇÏ¿©
À§¿¡´Â ½âÀº Ä¡¾Æ 2°³¸¦,
¾Æ·¡ÂÊ¿¡´Â ÀÛÀº ¾î±Ý´Ï 2°³¸¦ ¹ßÄ¡Çϱâ·Î ÇÏ¿´½À´Ï´Ù.

±³Á¤ ¿Ï·á ÈÄ »çÁøÀÔ´Ï´Ù.
°¡Áö·±ÇÑ Ä¡¿À» º¸À̸ç
±³ÇÕ°ü°è°¡ Åé´Ï ¹°¸®µíÀÌ Çü¼ºµÇ¾ú½À´Ï´Ù.
ÀÓÇöõÆ® ´ë½Å À̸¦ »ÌÀº °ø°£À» ÀÌ¿ëÇÏ¿©
µ¹ÃâµÈ ¾Õ´Ï¿Í »ß¶ÔÇÑ Ä¡¾Æ¸¦ °¡Áö·±ÇÏ°Ô ¸¸µé¾ú½À´Ï´Ù.
"#ºÎ»ê°á¼ÕÄ¡±³Á¤, #ºÎ»êº¸Ã¶Àü±³Á¤"


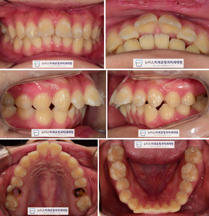
Àü ÈÄ ºñ±³»çÁøÀÔ´Ï´Ù.
¿¹Èİ¡ ÁÁÁö ¾Ê¾Æ ¹ßÄ¡ÇØ¾ß ÇÒ Ä¡¾Æ °ø°£À»
¸Þ¿òÀ¸·Î½á ÀÓÇöõÆ®¸¦ ÇÏÁö ¾Ê¾Æµµ µË´Ï´Ù.

¹æ»ç¼± »çÁø¿¡¼µµ º¸½Ã¸é
µ¹ÃâµÈ ¾Õ´Ï°¡ ¾çÈ£ÇØÁø ºÎºÐÀ» º¼ ¼ö ÀÖ½À´Ï´Ù.
(Ä¡·á±â°£ 24°³¿ù)
À§ÀÇ °æ¿ì ó·³
À̰¡ ¾ø´Ù°í ¹«Á¶°Ç ÀÓÇöõÆ®¸¦ ÇØ¾ßÇÏ´Â °Ç ¾Æ´Õ´Ï´Ù.
ÀÓÇöõÆ®°¡ ÇÊ¿äÇÑ °æ¿ì°¡ ÀÖ°í,
ÀÓÇöõÆ® ¾øÀÌ ±³ÇÕÀ» Çü¼ºÇÒ ¼öµµ ÀÖ½À´Ï´Ù.
³»°¡ ±³Á¤Ä¡·á¸¦ »ý°¢ÇÏ°í °è½Ã´Ù¸é
"#ºÎ»ê°á¼ÕÄ¡±³Á¤, #ºÎ»êº¸Ã¶Àü±³Á¤" Ä¡°ú·Î
³»¿øÇϼż »ó´ã ¹Þ¾Æº¸½Ã±æ ¹Ù¶ø´Ï´Ù.