¾È³çÇϽʴϱî?
ºÎ»ê ±ÝÁ¤±¸ ±¸¼µ¿¿¡ À§Ä¡ÇÑ
´ºÆ¼½ºÄ¡°ú±³Á¤°ú Ä¡°úÀÇ¿ø
Ä¡°ú±³Á¤°úÀü¹®ÀÇ ¾È¼ö¹üÀÔ´Ï´Ù.
º½ÀÌ ´Ù°¡¿À°í Àֳ׿ä.
º¢²ÉÀÌ ¸¸°³ÇÏ°í ³¯¾¾°¡ µû¶æÇÏ´Ï
»êÃ¥Çϱâ ÁÁÀº ³¯¾¾ÀÔ´Ï´Ù.

¿À´Ã Æ÷½ºÆÃÇÒ ³»¿ëÀº
"Ä¡¾Æµ¹Ãâ ±³Á¤" ÀÔ´Ï´Ù.
Ä¡¾Æ°¡ ¾ÕÀ¸·Î »µÃÄÀÖÀ¸¸é
½É¹ÌÀûÀÎ ¹®Á¦ »Ó¸¸ ¾Æ´Ï¶ó
Á¦´ë·Î µÈ ¾Õ´Ï ±³ÇÕÀ» ÇÒ ¼ö°¡ ¾ø½À´Ï´Ù.
¶ÇÇÑ µ¹ÃâµÈ ¾Õ´Ï·Î ÀÎÇØ
¿Ü»óÀ» ¹ÞÀ» °¡´É¼ºµµ ³ô¾ÆÁö°í
ÀÔµµ ³ª¿Í º¸ÀÔ´Ï´Ù.
#±¸¼µ¿±³Á¤Ä¡°ú

"¾Õ´Ïµ¹Ãâ" À» ÇØ°áÇϱâ À§
#±¸¼µ¿±³Á¤Ä¡°ú ÀÎ ÀúÈñ ´ºÆ¼½º·Î ³»¿øÇϽŠºÐÀÔ´Ï´Ù.
Àα٠ġ°ú¿¡ ³»¿øÇϼ̴ٰ¡
±³Á¤ÀÌ ÇÊ¿äÇÏ´Ù¸é¼
#±¸¼µ¿±³Á¤Ä¡°ú ÀÎ ÀúÈñ ´ºÆ¼½º·Î
¼Ò°³ ¹Þ°í ¿À¼Ì½À´Ï´Ù.

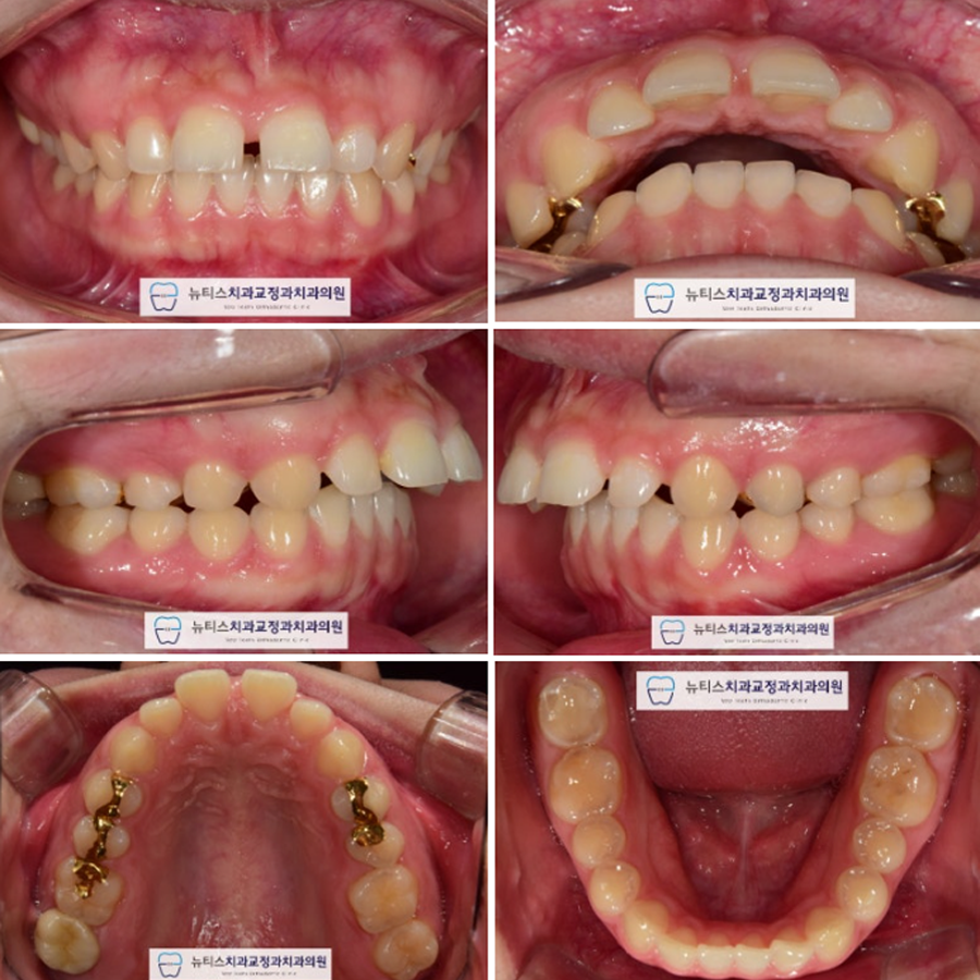
ÃÊÁø »çÁøÀÔ´Ï´Ù.
¾Æ·¡ Ä¡¾Æ¿¡ ºñÇØ ¾ÕÀ¸·Î µ¹ÃâµÈ
»ó¾Ç Ä¡¾Æ¸¦ º¸ÀÔ´Ï´Ù.
¶ÇÇÑ ÀÌ·Î ÀÎÇØ ±¸¼øµ¹Ãâ°¨À» ³ªÅ¸³»°í ÀÖÀ¸¸ç
Ãø¸é»ó¿¡¼ º¸¸é ±³ÇÕÀÌ ¸ÂÁö ¾ÊÀ½À» ¾Ë ¼ö ÀÖ½À´Ï´Ù.
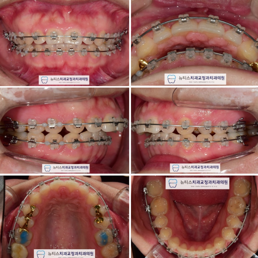
ÀÌ¿¡ #±¸¼µ¿±³Á¤Ä¡°ú ÀÎ ÀúÈñ ´ºÆ¼½º¿¡¼´Â
Ä¡¾Æµ¹Ãâ±³Á¤À» À§ÇØ
¸ÕÀú Ä¡¾Æ¸¦ °¡Áö·±ÇÏ°Ô ¸¸µé±â·Î ÇÏ¿´½À´Ï´Ù.

¹è¿ ÈÄ »çÁøÀÔ´Ï´Ù.
»ó¾Ç¿¡ ³²¾ÆÀÖ´ø °ø°£À» ´Ù ´Ý¾Ò½À´Ï´Ù.
Ãø¸é »çÁø¿¡¼ º¸½Ã¸é
¿©ÀüÈ÷ Ä¡¾ÆÀÇ µ¹ÃâÀ» È®ÀÎÇÒ ¼ö ÀÖÀ¸¸ç
±³ÇÕ°ü°è°¡ ¸ÂÁö ¾Ê½À´Ï´Ù.
ÀÌ¿¡ #±¸¼µ¿±³Á¤Ä¡°ú ÀÎ ÀúÈñ ´ºÆ¼½º¿¡¼´Â
»ó¾Ç Á¦ 1 ¼Ò±¸Ä¡¸¦ ¹ßÄ¡Çϰí
µ¹ÃâµÈ ¾Õ´Ï¸¦ ³Ö°í ±³ÇÕÀ» °³¼±Çϱâ·Î ÇÏ¿´½À´Ï´Ù.
*ÃÊÁø ´ç½Ã ¹ßÄ¡¸¦ ¸ÕÀú ÇÒ ¼ö ÀÖ¾úÀ¸³ª
Ʋ¾îÁü Á¤µµ°¡ ½ÉÇÏÁö ¾Ê°í »ó¾Ç¿¡ °ø°£ÀÌ
Á¸ÀçÇÏ¿© ¹è¿ ¸ÕÀú ½ÃÇà ÈÄ ¹ßÄ¡ °èȹÀ» Çß½À´Ï´Ù.
¹ßÄ¡´Â ºñ°¡¿ªÀû Ä¡·áÀ̹ǷÎ
ÃÖ´ëÇÑ ½ÅÁßÇÏ°Ô ÁøÇàÇÏ¿´½À´Ï´Ù.

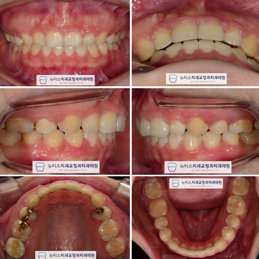
ÀåÄ¡ Á¦°Å ÈÄ »çÁøÀÔ´Ï´Ù.
°¡Áö·±ÇÑ Ä¡¿°ú ÇÔ²² °³¼±µÈ
±³ÇÕÀ» È®ÀÎÇÒ ¼ö ÀÖ½À´Ï´Ù.


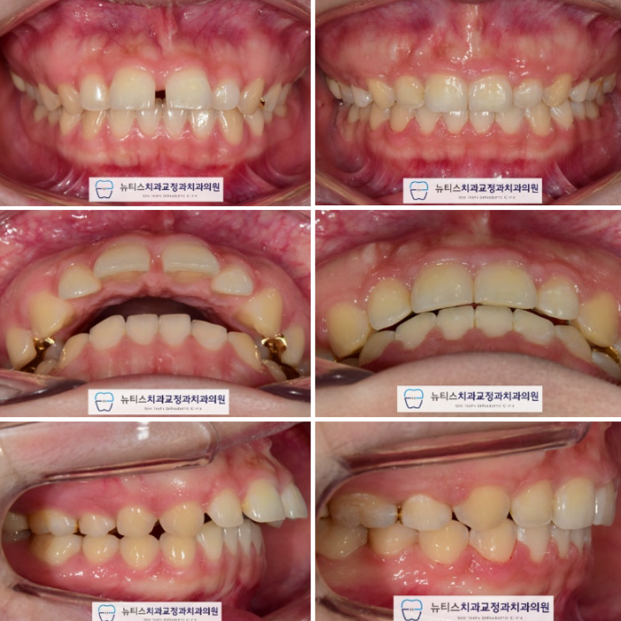
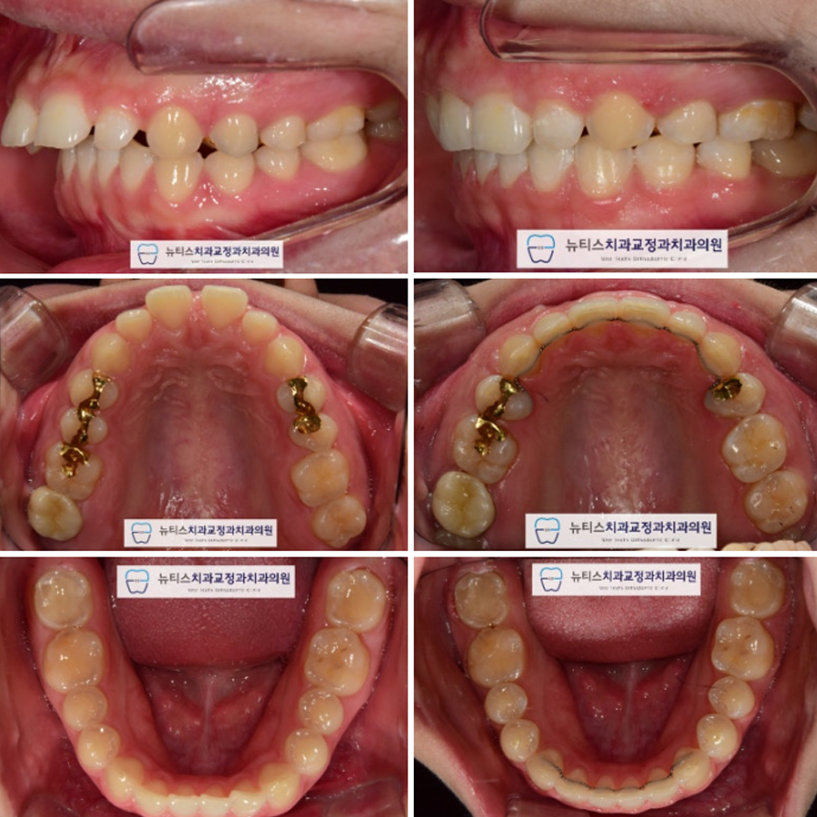
Àü ÈÄ ºñ±³ »çÁøÀÔ´Ï´Ù.
ÃÊÁø¿¡ ºñ±³½Ã Ä¡¾Æµ¹ÃâÀÌ ÇØ°áµÇ¾ú°í
±³ÇÕ°ü°è°¡ °³¼±µÇ¾ú½À´Ï´Ù.
¶ÇÇÑ ÀÌÀü¿¡ ¾Õ´Ï·Î À½½ÄÀ» ¸Ô±â Èûµé¾ú´Âµ¥
Áö±ÝÀº ¸éµµ Àß ²÷¾î¼ µå½Ê´Ï´Ù~

Ãø¸ð ¾È¸ð ¹× ¹æ»ç¼± »çÁøÀÔ´Ï´Ù.
µ¹ÃâµÈ ¾Õ´Ï°¡ µé¾î¿À¸é¼
µ¹ÃâÀÔµµ °³¼±µÇ¾ú½À´Ï´Ù.
Ä¡·á±â°£ : 1³â 9°³¿ù
±³Á¤Ä¡·á½Ã Ä¡±ÙÈí¼ö, Ä¡¼öÁúȯ ¹× Ä¡ÀºÅðÃà µîÀÇ ºÎÀÛ¿ëÀÌ ¹ß»ýÇÒ ¼ö ÀÖÀ¸¸ç,
Ä¡·á±â°£ Áß Ãß°¡ÀûÀÎ »ó´ã ¹× ½Ã¼úÀÌ ÇÊ¿äÇÒ ¼ö ÀÖ½À´Ï´Ù.
"Ä¡¾Æµ¹Ãâ±³Á¤, ¾Õ´Ïµ¹Ãâ µî"
´õ ±Ã±ÝÇÑ »çÇ×ÀÌ ÀÖÀ¸½Ã´Ù¸é,
ºÎ»ê±³Á¤Àü¹®Àǰ¡ 1:1 ¸ÂÃãÁø·áÇÏ´Â
±ÝÁ¤±¸ ±¸¼µ¿Ä¡°ú ´ºÆ¼½ºÄ¡°ú±³Á¤°úÄ¡°úÀÇ¿øÀ¸·Î
¾ðÁ¦µç ¹®ÀÇÁÖ¼¼¿ä.