¾È³çÇϽʴϱî?
ºÎ»ê ±ÝÁ¤±¸ ±¸¼µ¿¿¡ À§Ä¡ÇÑ
´ºÆ¼½ºÄ¡°ú±³Á¤°ú Ä¡°úÀÇ¿ø
#ºÎ»êÄ¡°ú±³Á¤°úÀü¹®ÀÇ ¾È¼ö¹üÀÔ´Ï´Ù.
ÈâÇÑ ³¯µéÀÌ À̾îÁö°í ÀÖ½À´Ï´Ù.
5¿ùÀº °¡Á¤ÀÇ ´Þ
°¡Á·ºÐµé°ú °¡±î¿î ¾Æ´Ï¸é Á» ´õ ±Ù±³·Î
³ªµéÀÌ ´Ù³àº¸½Ã´Â °Ç ¾î¶°½ÅÁö¿ä~

¿À´Ã Æ÷½ºÆÃÇÒ ³»¿ëÀº
"#¹Ý´ë±³ÇÕ ±³Á¤" ÀÔ´Ï´Ù.
¾Õ´Ï°¡ ¹Ý´ë·Î ¹°¸®´Â °æ¿ì
Ä¡¾ÆÀûÀÎ ¹®Á¦ ¶Ç´Â °ñ°ÝÀûÀÎ ¹®Á¦ÀÏ ¼ö ÀÖ½À´Ï´Ù.
Ä¡¾ÆÀûÀÎ ¹®Á¦¶ó¸é ±³Á¤Ä¡·á¸¸À¸·Îµµ
ÃæºÐÇÑ È¿°ú¸¦ º¼ ¼ö ÀÖÁö¸¸
Áø¼ºÀ¸·Î ¾Æ·¡ÅÎÀÌ Å« °æ¿ì¿¡´Â
±³Á¤Ä¡·á¸¸À¸·Î´Â ¾î·Á¿ï ¼ö ÀÖ½À´Ï´Ù.
#¹Ý´ë±³ÇÕ ±³Á¤

"¾Õ´Ï°¡ ¹Ý´ë·Î ¹°¸°´Ù" ¸¦ ÁÖ¼Ò·Î
#¹Ý´ë±³ÇÕ °³¼±À» °³¼±Çϱâ À§ÇØ
#ºÎ»êÄ¡°ú±³Á¤Àü¹®ÀÇ Ä¡°úÀÎ
ÀúÈñ ´ºÆ¼½º·Î ¹æ¹®ÇØ ÁֽŠºÐÀÔ´Ï´Ù.
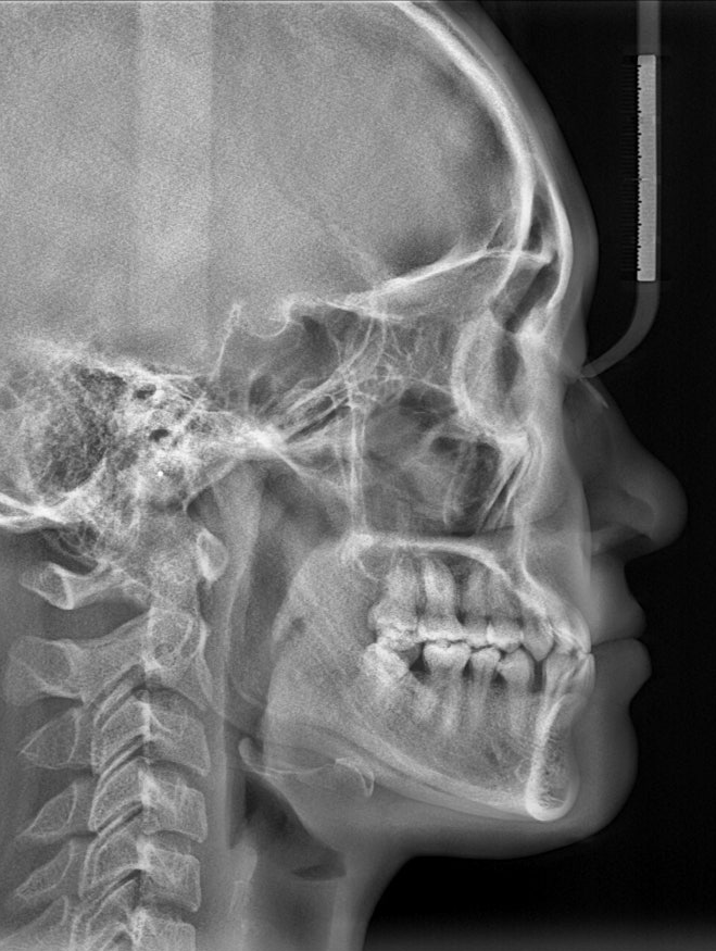
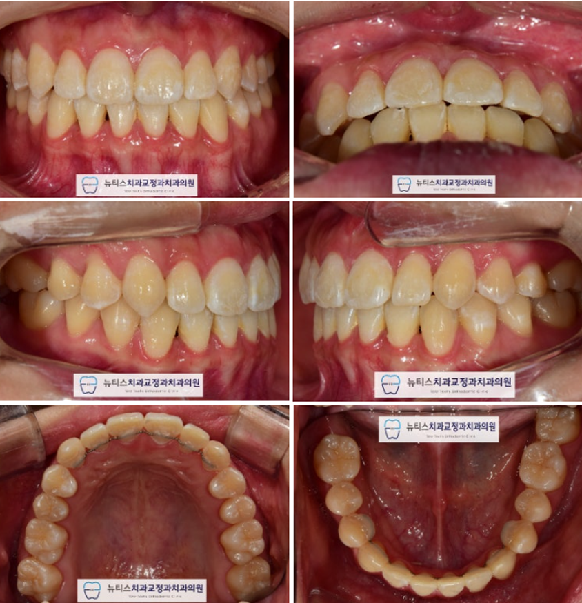
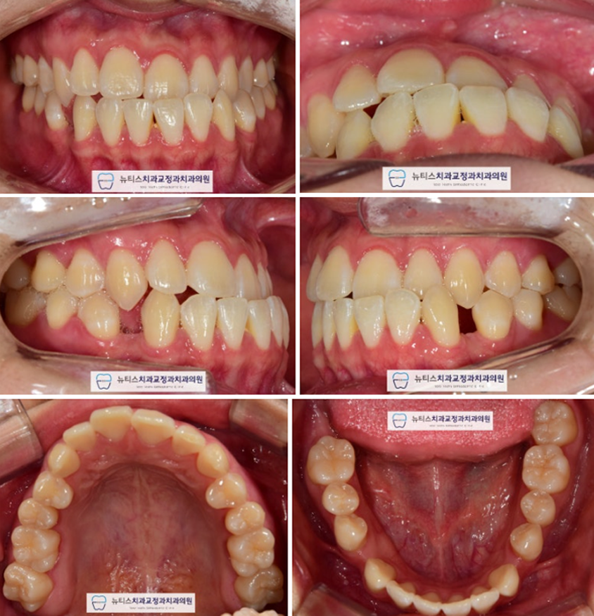
ÃÊÁø »çÁøÀÔ´Ï´Ù.
¾Æ·¡ ¾Õ´Ï°¡ À§¿¡ ¾Õ´Ïº¸´Ù ¾ÕÀ¸·Î ³ª¿ÍÀÖ´Â
#¹Ý´ë±³ÇÕ ÀÔ´Ï´Ù.
¶ÇÇÑ ÇϾǿ¡´Â ¹ßÄ¡µÈ Ä¡¾Æ°¡ ¾ø´Âµ¥µµ
»ó´çÇÑ Å©±âÀÇ °ø°£À» º¸ÀÔ´Ï´Ù.

¹æ»ç¼± »çÁø»ó¿¡¼
¾Æ·¡ÅÎÀÌ À§Åο¡ ºñÇØ Àü¹æÀ¸·Î µ¹ÃâµÈ °ÍÀ» È®ÀÎÇÏ¿´½À´Ï´Ù.
ÀÌ¿¡ #¹Ý´ë±³ÇÕ °³¼±À» À§ÇØ
#ºÎ»êÄ¡°ú±³Á¤°úÀü¹®ÀÇ Ä¡°úÀÎ ÀúÈñ ´ºÆ¼½º¿¡¼´Â
°ñ°Ý¹®Á¦¸¦ ¼ö¼úÀûÀ¸·Î ÇØ°áÇÏÁö ¾Ê°í
Ä¡¾Æ ±³Á¤¸¸À» ÅëÇØ¼ ÇØ°áÇϱâ·Î ÇÏ¿´½À´Ï´Ù.
(¸¹ÀÌ ½ÉÇÑ °æ¿ì¿¡´Â ²À ¼ö¼úÀÌ ÇÊ¿äÇÕ´Ï´Ù)


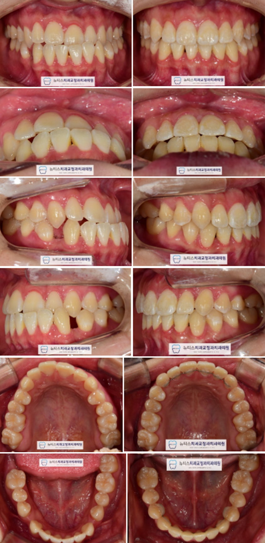
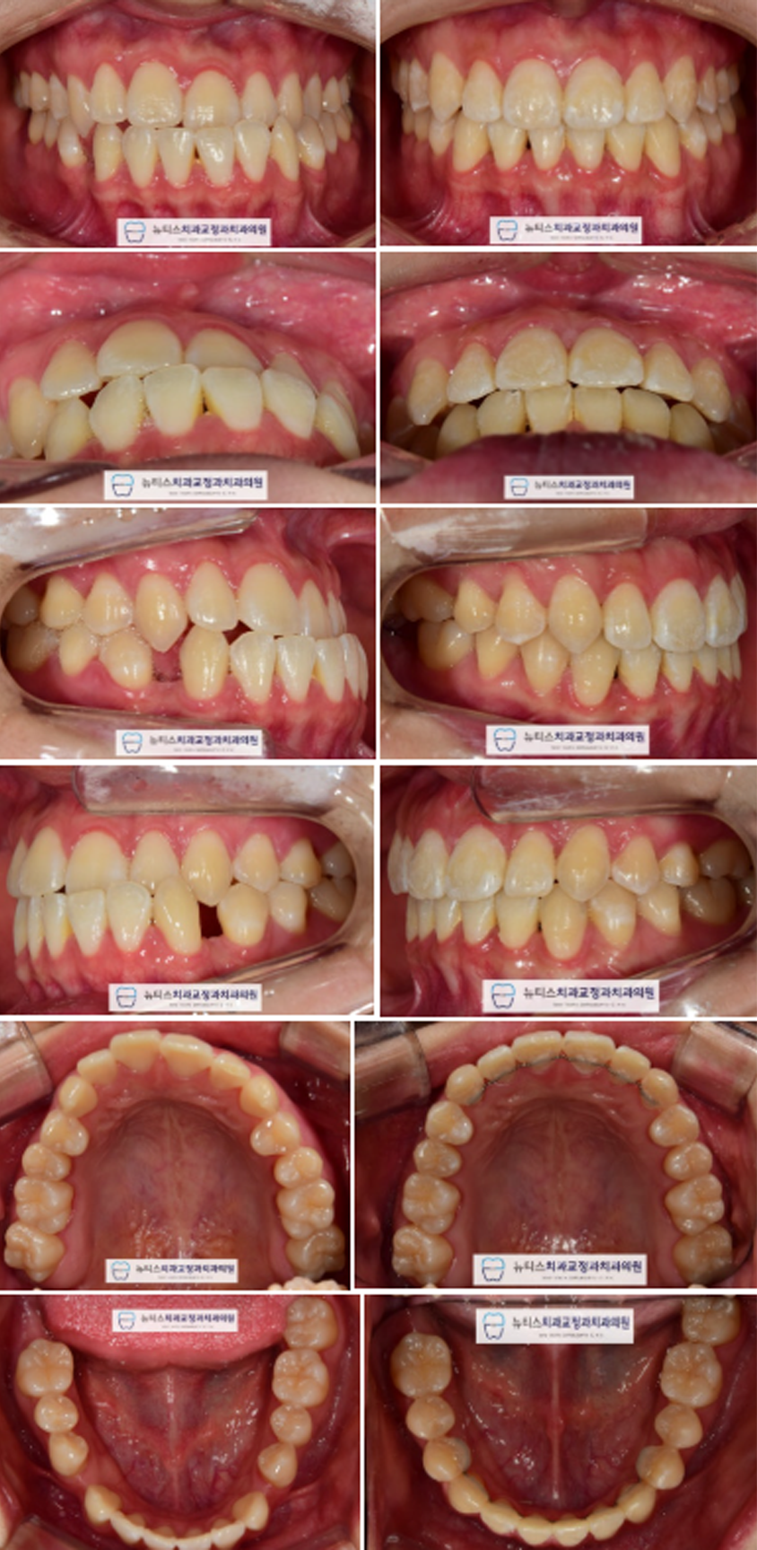
±³Á¤ ÀåÄ¡¸¦ ºÎÂøÇÏ°í ¹è¿ÇÏ´Â ÁßÀÔ´Ï´Ù.
#¹Ý´ë±³ÇÕ À» º¸ÀÌ´ø Ä¡¾Æ°¡ °³¼±µÇ°í ÀÖÀ¸³ª
¾Æ·¡ÂÊ¿¡ ³²¾ÆÀÖ´Â Æ´Àº ¿©ÀüÈ÷ Á¸ÀçÇÕ´Ï´Ù.

±³Á¤ ¿Ï·á ÈÄ »çÁøÀÔ´Ï´Ù.
#¹Ý´ë±³ÇÕ ÀÌ °³¼±µÇ°í
¾Æ·¡¿¡ ³²¾ÆÀÖ´Â Æ´À» ÀüºÎ ´Ý¾Ò½À´Ï´Ù.
¾Õ´Ï »Ó¸¸ ¾Æ´Ï¶ó ¾î±Ý´ÏÀÇ ±³ÇÕ±îÁö
°³¼±ÇÏ°í ¸¶¹«¸®µÇ¾ú½À´Ï´Ù.


Àü ÈÄ ºñ±³ »çÁøÀÔ´Ï´Ù.
ÃÊÁø°ú ºñ±³½Ã #¹Ý´ë±³ÇÕ ÀÌ °³¼±µÇ¾ú°í
ÇϾǿ¡ ³²¾ÆÀÖ´ø °ø°£µµ ¸ðµÎ ´ÝÇû½À´Ï´Ù.

¹æ»ç¼± Ãø¸ð »çÁø¿¡¼µµ
ÁÖ°ÆÅÎ °æÇâÀÌ ÁÙ¾îµç °ÍÀ» È®ÀÎÇÒ ¼ö ÀÖÀ¸¸ç
ÀÔ¼ú¼±ÀÌ °³¼±µÇ¾ú½À´Ï´Ù.
(Ä¡·á±â°£ : 25 °³¿ù)
±³Á¤Ä¡·á½Ã Ä¡±ÙÈí¼ö, Ä¡¼öÁúȯ ¹× Ä¡ÀºÅðÃà µîÀÇ ºÎÀÛ¿ëÀÌ ¹ß»ýÇÒ ¼ö ÀÖÀ¸¸ç,
Ä¡·á±â°£ Áß Ãß°¡ÀûÀÎ »ó´ã ¹× ½Ã¼úÀÌ ÇÊ¿äÇÒ ¼ö ÀÖ½À´Ï´Ù.
"¹Ý´ë±³ÇÕ, ¾Õ´Ï¹Ý´ë±³ÇÕ, ÁÖ°ÆÅÎ µî"
´õ ±Ã±ÝÇÑ »çÇ×ÀÌ ÀÖÀ¸½Ã´Ù¸é,
ºÎ»ê±³Á¤Àü¹®Àǰ¡ 1:1 ¸ÂÃãÁø·áÇÏ´Â
±ÝÁ¤±¸ ±¸¼µ¿Ä¡°ú ´ºÆ¼½ºÄ¡°ú±³Á¤°úÄ¡°úÀÇ¿øÀ¸·Î
¾ðÁ¦µç ¹®ÀÇÁÖ¼¼¿ä.