¾È³çÇϽʴϱî?
ºÎ»ê ±ÝÁ¤±¸ ±¸¼µ¿¿¡ À§Ä¡ÇÑ
´ºÆ¼½ºÄ¡°ú±³Á¤°ú Ä¡°úÀÇ¿ø
Ä¡°ú±³Á¤°úÀü¹®ÀÇ ¾È¼ö¹üÀÔ´Ï´Ù.
6¿ùÀÌ ½ÃÀ۵Ǹé¼
Çѳ·¿¡´Â 30µµ¿¡ À°¹ÚÇÑ ´õÀ§¿Í
¾ÆÄ§, ¹ãÀ¸·Î´Â ½Ò½ÒÇÑ ³¯¾¾¸¦ º¸À̳׿ä
°¨±â °É¸®±â µü~ ÁÁÀº ³¯¾¾ÀÔ´Ï´Ù
´Ùµé °Ç°°ü¸® Àß ÇÏ½Ã±æ ¹Ù¶ø´Ï´Ù~

¿À´Ã Æ÷½ºÆÃÇÒ ³»¿ëÀº
"µ¹ÃâÀÔ ±³Á¤" ÀÔ´Ï´Ù.
µ¹ÃâÀÔÀÇ °æ¿ì
Ä¡¾Æ°¡ ¾ÕÀ¸·Î »µÃÄÁ®¼
¹ß»ýÇÒ ¼öµµ ÀÖ°í
»ó¾Ç, À§ÅλÀ ÀÚü°¡ ³ª¿Í¼
¹ß»ýÇÒ ¼öµµ ÀÖ½À´Ï´Ù.
±×¸®°í ¶ÇÇÑ ÇϾÇ, ¾Æ·¡ÅÎÀÌ
µé¾î°¡ÀÖ´Â °æ¿ì¿¡µµ µ¹ÃâÀ» º¸ÀÔ´Ï´Ù.
#ºÎ»ê¹«Åα³Á¤
Ãø¸ð¿¡¼ÀÇ µ¹ÃâÀº
ÄÚ ³¡, »óÇϼø(ÀÔ¼ú) ¹× Åγ¡À» ±âÁØÀ¸·Î
µ¹ÃâÀÇ ¹®Á¦¸¦ È®ÀÎÇÒ ¼ö ÀÖ½À´Ï´Ù.
µ¹ÃâÀÇ ¿øÀÎÀÌ ´Ù¾çÇÏ´Ùº¸´Ï
º»Àο¡°Ô ¸Â´Â ¹æ¹ýÀ» ¼±ÅÃÇϴ°ÍÀÌ
Á¦´ë·Î µÈ #ºÎ»êµ¹ÃâÀÔ±³Á¤ ¹æ¹ýÀÔ´Ï´Ù.

"µ¹ÃâÀÔ"À» °³¼±Çϱâ À§ÇØ
#ºÎ»êµ¹ÃâÀÔ±³Á¤, #ºÎ»ê¹«Åα³Á¤ Ä¡°úÀÎ
ÀúÈñ ´ºÆ¼½º·Î ³»¿øÇϽŠºÐÀÔ´Ï´Ù.


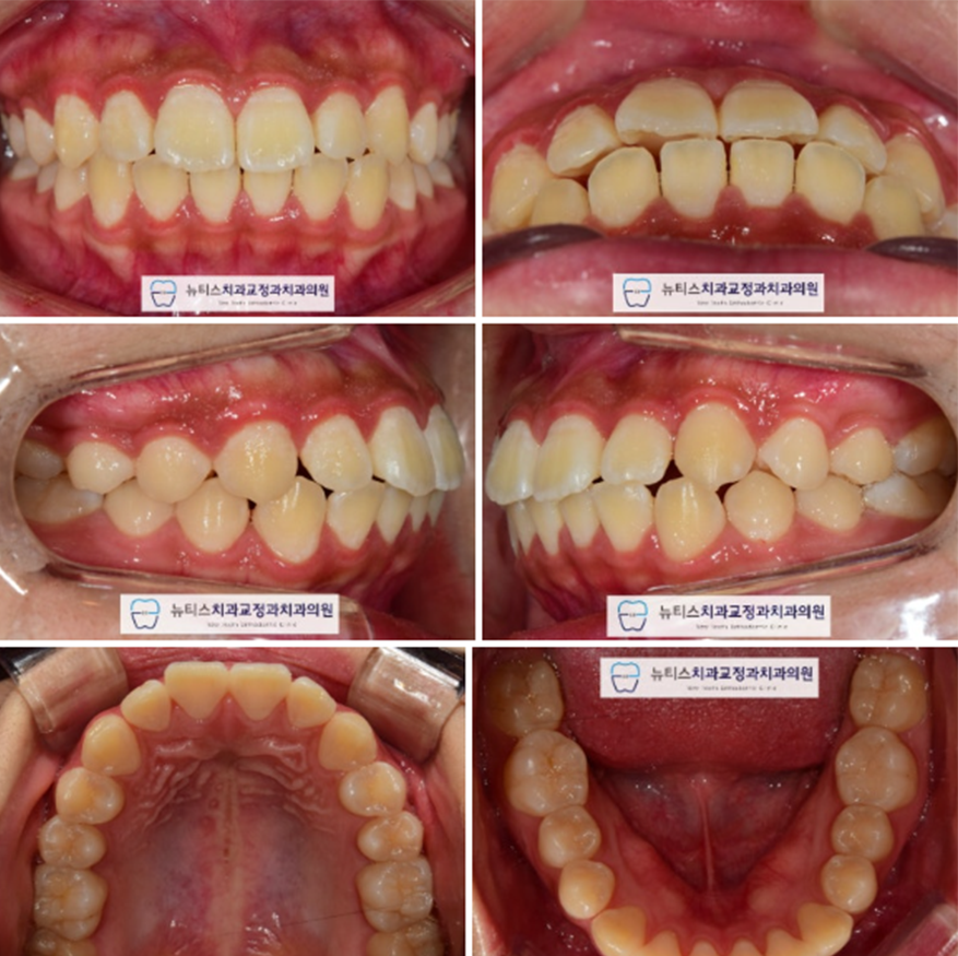
ÃÊÁø »çÁøÀÔ´Ï´Ù.
Ä¡¾ÆÀÇ Æ²¾îÁüÀº Å©Áö ¾ÊÀ¸³ª Ä¡¾Æ »çÀÌ»çÀÌ
¹Ì¼¼ÇÏ°Ô Æ´ÀÌ ÀÖ½À´Ï´Ù.
Ãø¸é»çÁø¿¡¼ º¸½Ã¸é ±³ÇÕ°ü°è´Â ´Ù¼Ò ¾çÈ£ÇØ º¸À̳ª
¾ÕÀ¸·Î »µÃÄÁø ¾Õ´Ï¸¦ °üÂûÇÒ ¼ö ÀÖ½À´Ï´Ù.

ÃÊÁø ¹æ»ç¼± ¹× Ãø¸ð »çÁøÀÔ´Ï´Ù.
¾ÕÀ¸·Î »µÃÄÁø Ä¡¾Æ¿Í ÇÔ²²
»ó´ëÀûÀ¸·Î ÀÛÀº ÇÏ¾Ç (¾Æ·¡ÅÎ) À» º¸À̸ç
ÀÔÀÌ µ¹ÃâµÈ °ÍÀ» ¾Ë ¼ö ÀÖ½À´Ï´Ù.
¶ÇÇÑ µÎÅÍ¿î ÀÔ¼úÀ» º¸ÀÔ´Ï´Ù.
ÀÌ¿¡
#ºÎ»êµ¹ÃâÀÔ±³Á¤, #ºÎ»ê¹«Åα³Á¤ Ä¡°úÀÎ
ÀúÈñ ´ºÆ¼½º¿¡¼´Â
µ¹ÃâÀÔÀ» °³¼±Çϱâ À§ÇØ
¹ßÄ¡ ±³Á¤À» ÁøÇàÇϱâ·Î ÇÏ¿´½À´Ï´Ù.

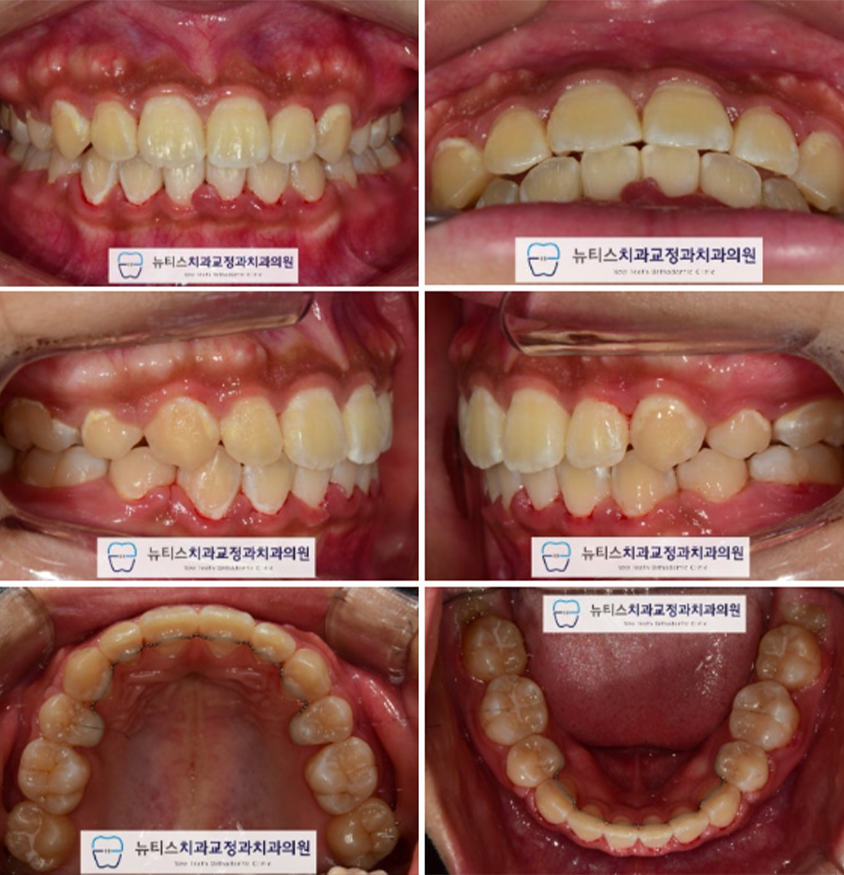
ÀåÄ¡ Á¦°Å ÈÄ »çÁøÀÔ´Ï´Ù.
¾ÕÀ¸·Î »µÃÄÁø Ä¡¾Æ°¡ ÀÌ»Ú°Ô ¹è¿µÇ¾ú½À´Ï´Ù.
¶ÇÇÑ ÃÊÁø ´ç½Ã ¸¹ÀÌ Æ²¾îÁöÁø ¾Ê¾ÒÀ¸³ª
°¡Áö·±ÇÑ Ä¡¿°ú ÇÔ²² ±³ÇÕ°ü°è°¡ ¸ÂÃçÁ³½À´Ï´Ù.

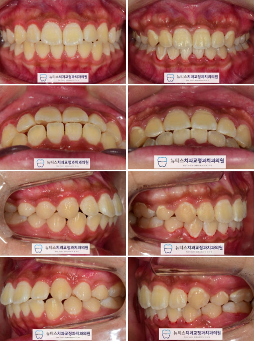
ÀåÄ¡ Á¦°Å ÈÄ ¹æ»ç¼± ¹× Ãø¸ð »çÁøÀÔ´Ï´Ù.
Ãʱ⿡ ºñÇØ °³¼±µÈ ¾Õ´Ï °¢µµ¸¦ È®ÀÎÇÒ ¼ö ÀÖ½À´Ï´Ù.
¶ÇÇÑ ÀÔ¼ú¼±ÀÌ °³¼±µÇ¾úÀ¸¸ç
ÀÚ¿¬½º·¯¿î ÀÔÀÇ ´Ù¹°±â ¹× ¾Æ·¡ÅÎ ¶óÀεµ ¸¹ÀÌ ÁÁ¾ÆÁ³½À´Ï´Ù.



Àü ÈÄ ºñ±³»çÁøÀÔ´Ï´Ù.
¾Õ´Ï °¢µµ°¡ °³¼±µÇ¾ú°í
»ó´ëÀûÀ¸·Î ¹«ÅÎÀÎ ºÎºÐÀÌ ÁÁ¾ÆÁ³½À´Ï´Ù.
ÀÚ¿¬½º·¯¿î ÀÔ¼ú´Ù¹°±â°¡ Çü¼ºµÇ°í
ºÎµå·¯¿î À̼ø±¸°¡ Çü¼ºµÇ¾ú½À´Ï´Ù.
´Ù¸¸, ÃÊÁø¿¡µµ ±¸°À§»ý °ü¸®°¡ Àß ¾ÈµÇ´ø ºÐÀ̶ó
±³Á¤ÀÌ ³¡³ª°í ³ª¼ ÀÕ¸öÀÇ ¹ßÀû°ú ÈÀÌÆ®½ºÆÌÀÌ Ä¿Á³½À´Ï´Ù.
ÁÖ±âÀûÀ¸·Î ½ºÄ̸µ ¹× ºÒ¼Ò µµÆ÷ µî
À§ÀÇ ¹®Á¦¿¡ ´ëÇÑ ºÎºÐÀº
#ºÎ»êµ¹ÃâÀÔ±³Á¤, #ºÎ»ê¹«Åα³Á¤ Ä¡°úÀÎ
ÀúÈñ ´ºÆ¼½º¿¡¼ À¯Áö üũÇÏ¸ç °ü¸®Çϵµ·Ï ÇÏ¿´½À´Ï´Ù.
(Ä¡·á±â°£ : 27°³¿ù)
±³Á¤Ä¡·á½Ã Ä¡±ÙÈí¼ö, Ä¡¼öÁúȯ ¹× Ä¡ÀºÅðÃà µîÀÇ ºÎÀÛ¿ëÀÌ ¹ß»ýÇÒ ¼ö ÀÖÀ¸¸ç,
Ä¡·á±â°£ Áß Ãß°¡ÀûÀÎ »ó´ã ¹× ½Ã¼úÀÌ ÇÊ¿äÇÒ ¼ö ÀÖ½À´Ï´Ù.
"µ¹ÃâÀÔ±³Á¤, ¹«Åα³Á¤ µî"
´õ ±Ã±ÝÇÑ »çÇ×ÀÌ ÀÖÀ¸½Ã´Ù¸é,
ºÎ»ê±³Á¤Àü¹®Àǰ¡ 1:1 ¸ÂÃãÁø·áÇÏ´Â
±ÝÁ¤±¸ ±¸¼µ¿Ä¡°ú ´ºÆ¼½ºÄ¡°ú±³Á¤°úÄ¡°úÀÇ¿øÀ¸·Î
¾ðÁ¦µç ¹®ÀÇÁÖ¼¼¿ä.