¾È³çÇϽʴϱî?ºÎ»ê ±ÝÁ¤±¸ ±¸¼µ¿±³Á¤Ä¡°ú´ºÆ¼½ºÄ¡°ú±³Á¤°ú Ä¡°úÀÇ¿øÄ¡°ú±³Á¤°úÀü¹®ÀÇ ¾È¼ö¹üÀÔ´Ï´Ù.
À帶°¡ ÇÑâÀÔ´Ï´Ù.ºñ°¡ ¸¹ÀÌ ³»¸®°í ÀÖÀ¸´Ï ´Ùµé ¾ÈÀü»ç°í Á¶½ÉÇÏ½Ã±æ ¹Ù¶ø´Ï´Ù.
À̹ø¿¡ Æ÷½ºÆÃ ÇÒ ³»¿ëÀº#ºÎ»êÄ¡¾Æ¹Ì¹é ÀÔ´Ï´Ù.
Ä¡¾Æ°¡ ´©·¸°Å³ª Ä¡¾Æ»öÀÌ ¾îµÎ¿ì¸é½É¹ÌÀûÀÎ ¹®Á¦°¡ µÉ ¼ö ÀÖ½À´Ï´Ù.
±×¸®°í ¹àÀº Ä¡¾Æ¸¦ ¿øÇϽô ºÐµéÀÌ ¸¹À¸½Ã¸çÄ¡¾Æ ±³Á¤ÀÌ ³¡³ª°í ³ª¼ ÀÌ·± ºÎºÐÀ» ÇØ°áÇÏ±æ ¿øÇϽô ºÐµéÀÌ ¸¹½À´Ï´Ù.
¹Ì¹é¿¡´Â ¸î°¡Áö ¹æ¹ýÀÌ ÀÖ½À´Ï´Ù.´ëÇ¥ÀûÀ¸·Î Àü¹®°¡ ¹Ì¹é, ±×¸®°í ÀÚ°¡ ¹Ì¹éÀ¸·Î º¼ ¼ö ÀÖ½À´Ï´Ù.
Àü¹®°¡ ¹Ì¹éÀº °í³óµµÀÇ ¾àÁ¦¸¦ »ç¿ëÇÏ¿©1~2ȸ¸¸¿¡ ¹Ì¹éÀÇ È¿°ú¸¦ º¸´Â °ÍÀ¸·Îºñ¿ëÀº »ó´ëÀûÀ¸·Î Á» ´õ ºñ½Î³ªºü¸¥ È¿°ú¸¦ º¼ ¼ö ÀÖ½À´Ï´Ù.
ÀÚ°¡ ¹Ì¹éÀÇ °æ¿ì,Áý¿¡¼ º»ÀÎÀÌ ÇÒ ¼ö ÀÖ´Â ÀåÁ¡ÀÌ ÀÖÀ¸³ª¹Ì¹éÀÇ È¿°ú¸¦ º¸±â¿¡´Â ¸¹Àº ½Ã°£ÀÌ ÇÊ¿äÇÕ´Ï´Ù.
#ºÎ»êÄ¡¾Æ¹Ì¹é Ä¡°úÀÎÀúÈñ ´ºÆ¼½º¿¡¼´Â¿À½ºÅÛ¿¡¼ »ý»êÇÏ´Â ºäƼ½º Á¦Ç°À¸·ÎÀü¹®°¡ ¹Ì¹éÀ» ÁøÇàÇÕ´Ï´Ù~


·± Ä¡¾Æ¸¦ ÇϾé°Ô Çϱæ À§ÇØ
#ºÎ»êÄ¡¾Æ¹Ì¹é Ä¡°úÀÎ ÀúÈñ ´ºÆ¼½º·Î
³»¿øÇϽŠºÐµéÀÔ´Ï´Ù~

¾Õ¿¡¼ ¸»¾¸µå¸°°Íó·³
°í³óµµÀÇ ¾àÁ¦¸¦ »ç¿ëÇÏ´Â ¸¸Å Ä¡¾Æ¹Ì¹é È¿°ú°¡
ºü¸£°í °ÇÏÁö¸¸ °ÇÑ ³óµµ·Î ÀÎÇØ ÀÕ¸öÀ̳ª ÀÔ¼ú µî¿¡
´ê°Ô µÇ¸é È»óÀ» ÀÔÀ» ¼ö ÀÖ½À´Ï´Ù.
µû¶ó¼ À§¿¡ »çÁø¿¡¼ º¸ÀÌ´Â °Íó·³
È®½ÇÇÏ°Ô ÁÖº¯À» º¸È£ÇÏ°í µµÆ÷Á¦¸¦ ¹Ù¸£¸ç
¾ÈÀüÇÑ È¯°æ¿¡¼ ½Ã¼úÇÏ°Ô µË´Ï´Ù.
Çѹø ³»¿ø½Ã ¾à 1½Ã°£ÀÇ ½Ã¼ú ½Ã°£ÀÌ ¼Ò¿äµÇ¸ç,
Çѹø¿¡ È¿°ú°¡ ³ªÅ¸³¯ ¼öµµ ÀÖÀ¸³ª º¸Åë 1~3ȸ Á¤µµ ½Ã¼úÇÕ´Ï´Ù.



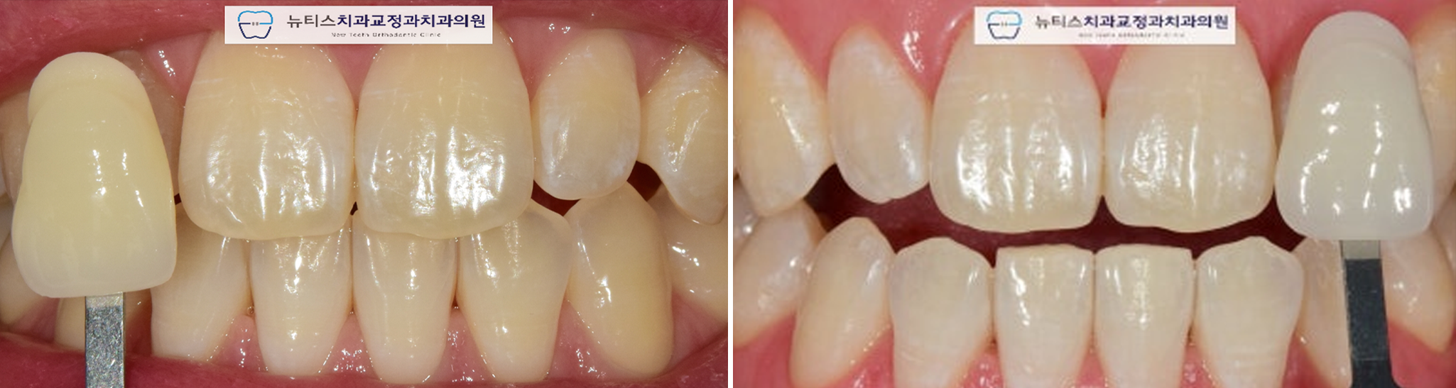
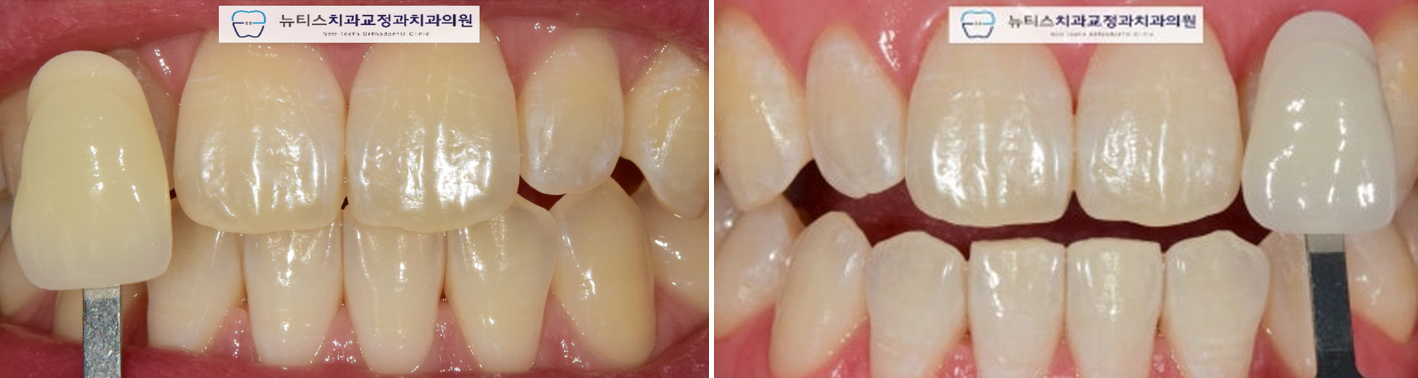
½Ã¼ú Àü ÈÄ »çÁøÀÔ´Ï´Ù.
ÃÊÁø¿¡ ºñÇØ ¹à¾ÆÁø Ä¡¾Æ¸¦ È®ÀÎÇÒ ¼ö ÀÖ½À´Ï´Ù.Ä¡¾Æ°¡ ÇϾé°Ô µÊÀ¸·Î½á ÀÚ½ÅÀÖ°Ô ¿ôÀ» ¼ö ÀÖ°Ô µÇ¾ú½À´Ï´Ù.
#ºÎ»êÄ¡¾Æ¹Ì¹é ÀÇ °æ¿ì ÈçÈ÷ ³ªÅ¸³¯ ¼ö ÀÖ´Â ºÎÀÛ¿ëÀ¸·Î'Ä¡¾Æ ½Ã¸²' Áõ»óÀ» º¸ÀÏ ¼ö ÀÖ½À´Ï´Ù.
½Ã¼ú ÈÄ ÀϽÃÀûÀ¸·Î ½Ã¸° Áõ»óÀº ¹ß»ýÇÒ ¼ö ÀÖÀ¸³ªº¸Åë 1ÁÖÀÏ À̳»·Î »ç¶óÁö°Ô µÇ´Âµ¥ÀÌ Áõ»óÀÌ °è¼Ó Áö¼ÓµÈ´Ù¸é ´ã´çÀÇ»ç¿Í »ó´ãÇÏ½Ã´Â°Ô ÁÁ½À´Ï´Ù.
#ºÎ»êÄ¡¾Æ¹Ì¹é Ä¡°úÀÎ ÀúÈñ ´ºÆ¼½º¿¡¼ »ç¿ëÇÏ´ÂºäÆ¼½º15´Â ¶Ù¾î³ ¹Ì¹éÈ¿°ú¿Í ÇÔ²² ½Ã¸²Áõ»óÀ» ÃÖ¼ÒÈÇÏ¸ç ½Ä¾àó·Î ºÎÅÍ Çã°¡ ¹ÞÀº Á¦Ç°À» »ç¿ëÇÕ´Ï´Ù.
Ä¡¾Æ ¹Ì¹é Ä¡·á ÈÄ¿¡´Â Âø»öÀÌ µÇ´Â À½½Ä,³Ê¹« ¶ß°Ì°Å³ª Â÷°¡¿î À½½ÄÀº ÇÇÇÏ´Â°Ô ÁÁ½À´Ï´Ù.
¿µ±¸ÀûÀÎ È¿°ú°¡ ¾Æ´Ï±â¿¡ ÇϾá Ä¡¾Æ¸¦ ¿øÇϽŴٸé²ÙÁØÇÑ °ü¸®°¡ ÇÊ¿äÇÏ¸ç ½Ã¼ú ÈÄ ÁÖÀÇ»çÇ×À»ÁöŲ´Ù¸é ¹Ì¹éÀÇ È¿°ú°¡ ´õ ¿À·¡ Áö¼ÓµÉ ¼ö ÀÖ½À´Ï´Ù.
Ä¡¾Æ¹Ì¹éÄ¡·á½Ã Ä¡¾Æ½Ã¸², ¿¬Á¶Á÷ È»ó µîÀÇ ºÎÀÛ¿ëÀÌ ¹ß»ýÇÒ ¼ö ÀÖÀ¸¸ç,Ãß°¡ÀûÀÎ »ó´ã ¹× ½Ã¼úÀÌ ÇÊ¿äÇÒ ¼ö ÀÖ½À´Ï´Ù.
"#ºÎ»êÄ¡¾Æ¹Ì¹é µî" ´õ ±Ã±ÝÇÑ »çÇ×ÀÌ ÀÖÀ¸½Ã´Ù¸é, ºÎ»ê±³Á¤Àü¹®Àǰ¡ 1:1 ¸ÂÃãÁø·áÇϴ±ÝÁ¤±¸ ±¸¼µ¿±³Á¤Ä¡°ú ´ºÆ¼½ºÄ¡°ú±³Á¤°úÄ¡°úÀÇ¿øÀ¸·Î ¾ðÁ¦µç ¹®ÀÇÁÖ¼¼¿ä.