|
Á¦¸ñ
|
ºÎ»ê¾î¸°À̱³Á¤Ä¡°ú ¹Ý´ë±³ÇÕ ±³Á¤Àº ¾î¶»°Ô?
|
|
2025-09-12
|
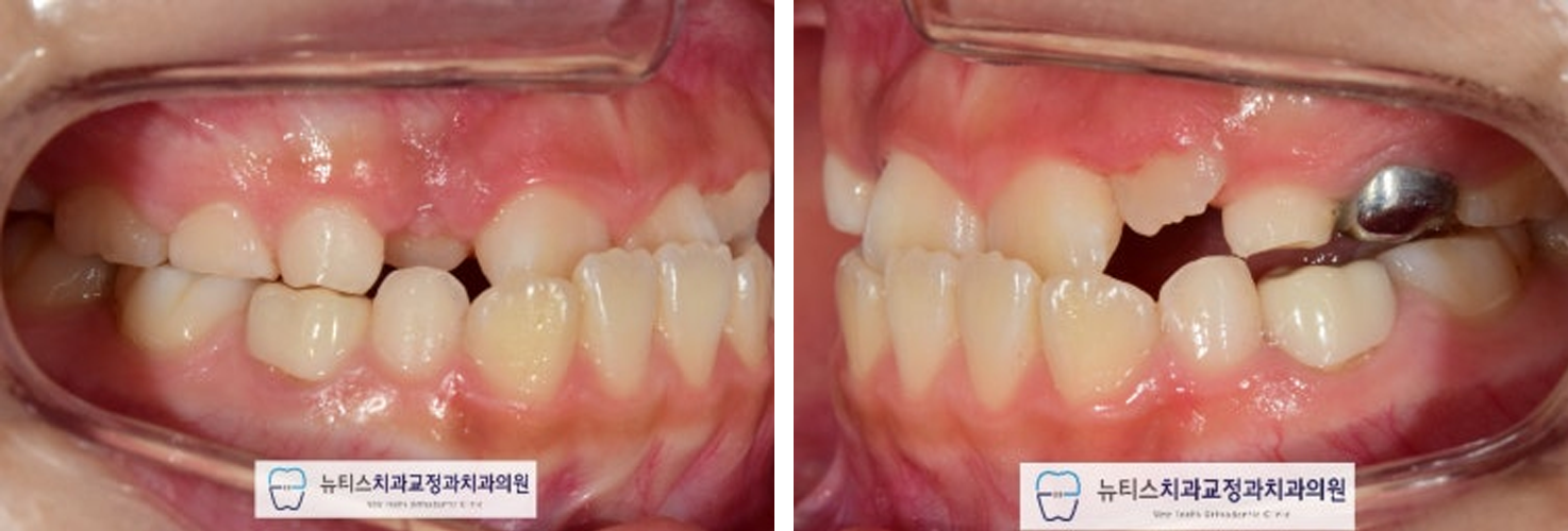
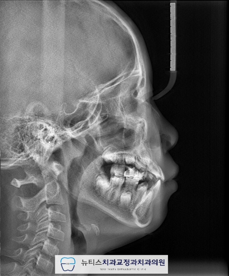
¾È³çÇϼ¼¿ä.ºÎ»ê ±ÝÁ¤±¸ ±¸¼µ¿¿¡ À§Ä¡ÇÑ´ºÆ¼½ºÄ¡°ú±³Á¤°ú Ä¡°úÀÇ¿ø±³Á¤°ú Àü¹®ÀǾȼö¹ü ¿øÀåÀÔ´Ï´Ù. À̹ø ÁÖºÎÅÍ À帶°¡ ½ÃÀ۵ȴٰí ÇÕ´Ï´Ù~Áö³ÁÖ¿¡µµ À帶°¡ ½ÃÀ۵ȴٰí ÇÏ´øµ¥...7¿ùÀº ÈÄ´þÁö±ÙÇÑ ³¯¾¾°¡ À̾îÁö³×¿ä. ÀϱⰡ º¯È¹«»óÇÏ´Ï´Ùµé °Ç° °ü¸® Àß ÇÏ½Ã±æ ¹Ù¶ø´Ï´Ù~ À̹ø¿¡ Æ÷½ºÆÃÇÒ ÄÉÀ̽º´Â"#ºÎ»ê¾î¸°À̹ݴ뱳ÇÕ ÀÔ´Ï´Ù. ¹Ý´ë±³ÇÕÀ» °¡Áö°í ÀÖÀ¸¸é Á¤»óÀûÀÎ ¼ºÀå ¹ßÀ°À» ÇÏÁö ¸øÇÏ¿©ÁÖ°ÆÅÎÀÌ ´õ ½ÉÇØÁú ¼ö ÀÖÀ¸¸ç ºÎÁ¤±³ÇÕÀÌ ¹ß»ýµË´Ï´Ù. ¼ºÀÎÀÇ °æ¿ì ½ÉÇÑ ¹Ý´ë±³ÇÕ Áï, ÁÖ°ÆÅÎÀº ±³Á¤Ä¡·á¸¸À¸·Î ÇØ°áÀÌ ¾î·Á¿ï ¼ö ÀÖÀ¸³ª ¼ºÀå±â ¾î¸°ÀÌÀÇ °æ¿ì¿¡´ÂÁ¤»óÀûÀÎ ¼ºÀå ¹æÇâÀ¸·Î À¯µµÇØ º¼ ¼ö ÀÖ½À´Ï´Ù. À̰¡ Ʋ¾îÁö°í µ¡´Ï°¡ Àְųª °ø°£ÀÌ ¸¹ÀÌ ÀÖ´Â °æ¿ì¿¡´Âº¸È£Àںв²¼ ÀÎÁö°¡ ºü¸£³ªÀÌ·± ºÎÁ¤±³ÇÕ (¹Ý´ë±³ÇÕ) À» °¡Áö°í ÀÖÀ¸¸é Àß ¸ð¸£½Ã´Â °æ¿ì°¡ ¸¹½À´Ï´Ù. ÈçÈ÷ ¾Þ±Û¾¾ 3±Þ ºÎÁ¤±³ÇÕÀ̶ó°í Çϴµ¥À̸¦ ¹æÄ¡ÇÏ°Ô µÇ¸é ³ªÁß¿¡ ¹®Á¦°¡ Å©°Ô µÉ ¼ö ÀÖÀ¸´Ï°¡±ÞÀû ºü¸¥ Á¢±ÙÀÌ ¿ä±¸µË´Ï´Ù.(¾ÆÀÌ º¸Çè¿¡¼ º¸ÀåÇØ ÁÖ´Â °æ¿ìµµ ÀÖ½À´Ï´Ù) #ºÎ»ê¾î¸°À̱³Á¤Ä¡°ú ÀÎ ÀúÈñ ´ºÆ¼½º¿¡¼´Â¼ö¿ÏºÎ (¼Õ»À) ¿¢½º·¹À̸¦ ÅëÇØ¿ì¸® ¾ÆÀÌÀÇ ¼ºÀå ´Ü°è¸¦ ÆÇ´ÜÇÏ¿© °¡Àå ÀûÀýÇÑ ½Ã±â¿¡ Ä¡·á¸¦ ÁøÇàÇÒ ¼ö ÀÖµµ·Ï ÇØ µå¸³´Ï´Ù. À̰¡ ¹Ý´ë·Î ¹°¸°´Ù°í ÇÏ¿©#ºÎ»ê¾î¸°À̱³Á¤Ä¡°ú ÀÎ ÀúÈñ ´ºÆ¼½º·Î³»¿øÇϽŠºÐÀÔ´Ï´Ù.ÃÊÁø »çÁøÀÔ´Ï´Ù.È¥ÇÕÄ¡¿±â ´Ü°è·Î ÇöÀç ¾Õ´Ï°¡ ¹Ý´ë·Î ¹°¸®°í ÀÖ½À´Ï´Ù. ÀÌ·¯ÇÑ #ºÎ»ê¾î¸°À̹ݴ뱳ÇÕ À» º¸ÀÌ´Â °æ¿ì¿¡´ÂÁ¤»óÀûÀÎ ÅÎÀÇ ¼ºÀåÀ» ÀúÇØÇÒ ¼ö ÀÖ½À´Ï´Ù. ¹æ»ç¼± »çÁø¿¡¼µµ¾Õ´ÏÀÇ ¹Ý´ë±³ÇÕÀ» È®ÀÎÇÒ ¼ö ÀÖ½À´Ï´Ù. #ºÎ»ê¾î¸°À̱³Á¤Ä¡°ú ÀÎ ÀúÈñ ´ºÆ¼½º¿¡¼´Â¿©·¯°¡Áö °Ë»ç¸¦ ÅëÇÏ¿© ÇÁ¸®¿Ã¼Ò¶ó´Â ÀåÄ¡¸¦ »ç¿ëÇÏ¿©#ºÎ»ê¾î¸°À̹ݴ뱳ÇÕ À» °³¼±Çϱâ·Î ÇÏ¿´½À´Ï´Ù.  Ä¡·á ÈÄ »çÁøÀÔ´Ï´Ù.
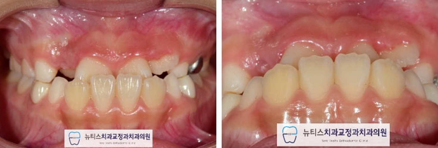
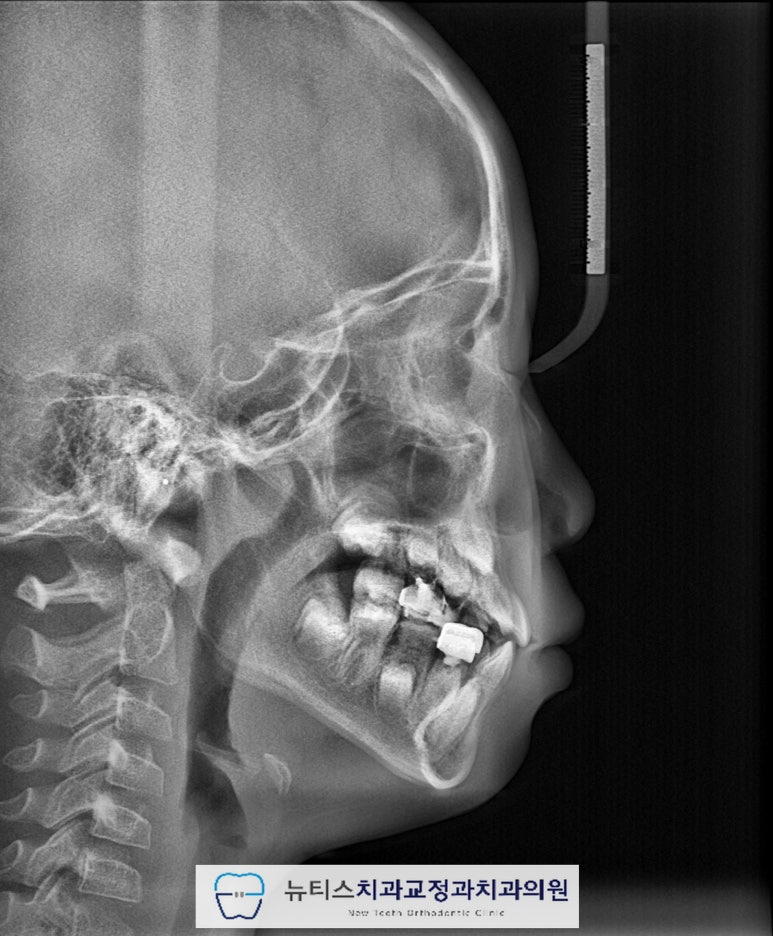
#ºÎ»ê¾î¸°À̹ݴ뱳ÇÕ ÀÌ °³¼±µÇ¾ú°íÀüÄ¡ºÎÀÇ ±³ÇÕ°ü°è°¡ ¾çÈ£ÇØ Á³½À´Ï´Ù. Ä¡·á ÈÄ ¹æ»ç¼± »çÁø¿¡¼µµ¹Ý´ë±³ÇÕÀÌ °³¼±µÈ °ÍÀ¸·Î È®ÀÎÇÒ ¼ö ÀÖ½À´Ï´Ù.(Ä¡·á±â°£ 6°³¿ù)  Ä¡·á Á¾·á ÈÄ 1³â Áö³ »çÁøÀÔ´Ï´Ù. #ºÎ»ê¾î¸°À̱³Á¤Ä¡°ú ÀÎ ÀúÈñ ´ºÆ¼½º¿¡¼´Â¹Ý´ë±³ÇÕÀ» °³¼±ÇÑ ÀÌÈÄ, À¯Áö°¡ Àß µÇ´ÂÁö ´Ù¸¥ ¹®Á¦°¡ ¾ø´ÂÁö ÁÖ±âÀûÀΠüũ¸¦ ½ÃÇàÇÕ´Ï´Ù. ÃÊÁø, Ä¡·á ¸¶¹«¸®, 1³â À¯Áö üũ »çÁøÀÔ´Ï´Ù. Àß À¯Áö°¡ µÇ¾ú°í ÀûÀýÇÑ ½Ã±â°¡ µÇ¸é2Â÷ ±³Á¤À» ÁøÇàÇÒ ¿¹Á¤ÀÔ´Ï´Ù~ #ºÎ»ê¾î¸°À̹ݴ뱳ÇÕ ÀÇ °æ¿ì¿¡´ÂÄ¡·áÀÇ Å¸À̹ÖÀÌ Áß¿äÇϱ⠶§¹®¿¡ Àü¹®°¡¿Í »ó´ãÇÏ´Â °ÍÀÌ Áß¿äÇÕ´Ï´Ù. #ºÎ»ê¾î¸°À̱³Á¤Ä¡°ú ÀÎ ÀúÈñ ´ºÆ¼½º¿¡¼´Â¿ì¸® ¾ÆÀÌ¿¡ ´ëÇÏ¿© ´Ù¾çÇÑ °Ë»ç¸¦ ÅëÇØÃÖÀûÀÇ Ä¡·á ¹æ¹ýÀ» µµ¸ðÇØ µå¸®°í ÀÖ½À´Ï´Ù. Ȥ½Ã ¿ì¸® ¾ÆÀÌÀÇ Ä¡¾Æ°¡ ¹Ý´ë·Î ¹°¸°´Ù´øÁö¾ÕÀ¸·Î »ÀÃÄÁ³´Ù¸é ¾ðÁ¦µçÁö ¸Á¼³ÀÌÁö ¸¶½Ã°íÀúÈñ ´ºÆ¼½º·Î ¿¬¶ô ÁÖ¼¼¿ä~
|
|